Trento, 7 novembre 2025 – Un atlante 3D delle connessioni cerebrali, creato con migliaia di immagini ad alta risoluzione, promette di cambiare il volto della neurochirurgia e delle terapie contro le malattie neurodegenerative. Si chiama BraDiPho (Brain Dissection Photogrammetry) ed è stato presentato oggi su Nature Communications, frutto di cinque anni di lavoro tra l’Università di Trento, l’Azienda provinciale per i servizi sanitari (Apss), la Fondazione Bruno Kessler (Fbk) e le università di Bordeaux e Sherbrooke.
Una mappa 3D per orientarsi nel cervello
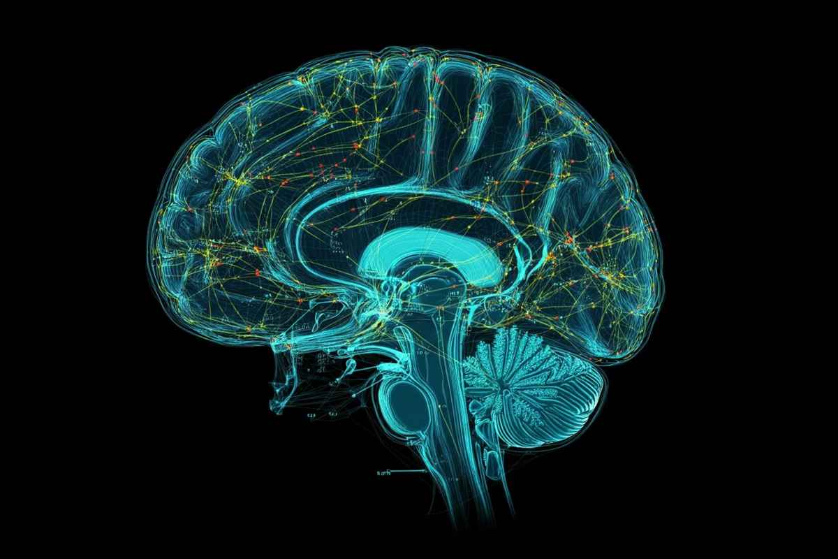
La vera novità sta nel combinare, per la prima volta, i dati raccolti da tessuti cerebrali mantenuti vivi fuori dal corpo con quelli della trattografia in vivo. Quest’ultima è una tecnica basata sulla risonanza magnetica che ricostruisce le connessioni delle fibre della sostanza bianca. “Abbiamo realizzato una vera e propria mappa 3D delle autostrade cerebrali”, spiega Silvio Sarubbo, coordinatore dello studio e direttore di Neurochirurgia all’ospedale Santa Chiara di Trento. Secondo Sarubbo, questa mappa aiuta i neurochirurghi a muoversi con più sicurezza durante gli interventi e offre agli studenti un modo più dettagliato per studiare l’anatomia del cervello.
Dietro le quinte di BraDiPho: dalla dissezione alla mappa
Il lavoro dietro BraDiPho è stato lungo e preciso. Sono state scattate migliaia di foto con due macchine ad altissima risoluzione, una per ogni grado di rotazione: in tutto 360 scatti da diverse angolazioni. “Invece di una sola immagine della dissezione, ora ne abbiamo migliaia, scattate in momenti diversi”, racconta Sarubbo. Le foto poi vengono elaborate da un sistema di intelligenza artificiale che ricostruisce con precisione la rete di connessioni cerebrali di ogni singolo cervello.
Laura Vavassori, dottoranda all’Università di Trento e prima autrice dello studio, ha lavorato al progetto grazie a una borsa finanziata da Apss, nell’ambito del progetto NeuSurPlan della Provincia autonoma di Trento. Tra gli altri protagonisti ci sono Paolo Avesani della Fbk, Laurent Petit dell’Università di Bordeaux e Mattia Barbareschi, responsabile dell’Anatomia patologica.
L’intelligenza artificiale che fa la differenza
L’intelligenza artificiale gioca un ruolo chiave nell’analisi dei dati. “Ci permette di studiare in modo personalizzato le reti di fibre e le loro differenze anatomiche”, spiega Paolo Avesani. La medicina su misura passa anche da qui: capire quali variazioni sono normali e quali invece indicano una patologia. “L’intelligenza artificiale è uno strumento indispensabile per affrontare questa sfida”, aggiunge Avesani.
Che impatto avrà sulla neurochirurgia e la riabilitazione
Le applicazioni pratiche sono molte. In neurochirurgia, questo atlante aiuta a pianificare con più precisione gli interventi su tumori o lesioni profonde. Nella riabilitazione, può indicare i percorsi neurali migliori per recuperare funzioni compromesse. Inoltre, è uno strumento prezioso per insegnare agli studenti e formare i medici più giovani.
I primi riscontri degli specialisti sono positivi. La possibilità di mettere a confronto dati anatomici reali con quelli della risonanza magnetica apre nuove strade nello studio delle malattie neurodegenerative, come Alzheimer e Parkinson. “Solo così – confida Sarubbo – potremo capire davvero come cambiano le connessioni nel cervello malato rispetto a quello sano”.
Una squadra internazionale con la testa al futuro
BraDiPho nasce da una collaborazione che unisce Italia, Francia e Canada. La Fondazione Bruno Kessler ha portato avanti la parte di intelligenza artificiale e imaging digitale. Bordeaux ha messo a disposizione la sua esperienza nella trattografia, mentre Sherbrooke ha supportato la gestione dei dati.
“Questo lavoro è solo l’inizio”, sottolinea Laura Vavassori. Nuove sperimentazioni sono già in cantiere: si punta ad ampliare il database di immagini e a migliorare ancora gli algoritmi di ricostruzione. Intanto, i primi risultati sono già disponibili per la comunità scientifica mondiale.
In attesa di nuovi sviluppi, BraDiPho si prepara a diventare uno strumento fondamentale per capire meglio le connessioni cerebrali e per far avanzare la medicina personalizzata.
